Leczenie kanałowe pod mikroskopem w Szczecinie to nowoczesna metoda, która przynosi wiele korzyści zarówno dla…
Leczenie stomatologiczne pod mikroskopem to nowoczesna metoda, która zyskuje coraz większą popularność wśród pacjentów oraz dentystów. Główną zaletą tej techniki jest znaczne zwiększenie precyzji zabiegów. Dzięki powiększeniu obrazu, stomatolog ma możliwość dokładniejszego zdiagnozowania problemu oraz skuteczniejszego przeprowadzenia leczenia. Mikroskopy dentystyczne pozwalają na dostrzeganie detali, które gołym okiem byłyby niewidoczne, co jest szczególnie istotne w przypadku leczenia kanałowego czy usuwania próchnicy. Kolejną korzyścią jest mniejsze ryzyko powikłań oraz szybszy czas gojenia się tkanek. Dzięki precyzyjnemu leczeniu, pacjenci często odczuwają mniejszy ból i dyskomfort po zabiegu, co wpływa na ich ogólny komfort psychiczny. Warto również zaznaczyć, że leczenie pod mikroskopem może być bardziej estetyczne, ponieważ stomatolog ma lepszą kontrolę nad tym, jak wygląda finalny efekt.
Jak przebiega leczenie stomatologiczne pod mikroskopem
Leczenie stomatologiczne pod mikroskopem przebiega w kilku etapach, które mają na celu zapewnienie maksymalnej efektywności i bezpieczeństwa dla pacjenta. Na początku lekarz przeprowadza szczegółowy wywiad oraz badania diagnostyczne, aby określić rodzaj problemu oraz zaplanować odpowiednie działania. Następnie pacjent zostaje przygotowany do zabiegu, co może obejmować znieczulenie miejscowe lub ogólne w zależności od skomplikowania przypadku. Po przygotowaniu, stomatolog przystępuje do pracy z użyciem mikroskopu, który pozwala mu na dokładne obserwowanie obszaru leczenia. Dzięki temu lekarz może precyzyjnie usunąć zmienione chorobowo tkanki oraz przeprowadzić niezbędne procedury, takie jak leczenie kanałowe czy odbudowa zębów. Cały proces jest monitorowany na bieżąco, co minimalizuje ryzyko błędów i zwiększa szanse na sukces terapii.
Jakie są najczęstsze pytania dotyczące leczenia stomatologicznego pod mikroskopem

Wiele osób zastanawia się nad różnymi aspektami związanymi z leczeniem stomatologicznym pod mikroskopem i często zadaje pytania dotyczące tej metody. Jednym z najczęściej pojawiających się pytań jest to, czy leczenie pod mikroskopem jest droższe od tradycyjnych metod. Odpowiedź na to pytanie nie jest jednoznaczna, ponieważ ceny mogą się różnić w zależności od kliniki oraz skomplikowania zabiegu. Kolejnym popularnym pytaniem jest to, jak długo trwa taki zabieg. Czas trwania leczenia zależy od wielu czynników, ale zazwyczaj jest on dłuższy niż w przypadku standardowych metod ze względu na większą precyzję i staranność wymagane podczas pracy pod mikroskopem. Pacjenci często pytają również o komfort związany z zabiegiem – dzięki zastosowaniu nowoczesnych technologii i znieczuleń, wiele osób zgłasza mniejszy ból i dyskomfort w trakcie oraz po zakończeniu leczenia.
Jakie są opinie pacjentów o leczeniu stomatologicznym pod mikroskopem
Opinie pacjentów na temat leczenia stomatologicznego pod mikroskopem są zazwyczaj bardzo pozytywne. Wielu pacjentów docenia przede wszystkim wysoką jakość wykonania zabiegów oraz ich efektywność. Osoby, które miały wcześniej doświadczenia z tradycyjnymi metodami często zauważają znaczną różnicę w komforcie i skuteczności leczenia pod mikroskopem. Pacjenci chwalą sobie również krótszy czas rekonwalescencji oraz mniejsze dolegliwości bólowe po zabiegach. Wiele osób zwraca uwagę na profesjonalizm lekarzy oraz ich umiejętność komunikacji – stomatolodzy pracujący z użyciem mikroskopu często dokładnie tłumaczą każdy etap procesu oraz odpowiadają na pytania pacjentów, co wpływa na ich poczucie bezpieczeństwa. Niektórzy pacjenci dzielą się swoimi doświadczeniami w internecie, co przyczynia się do rosnącej popularności tej metody wśród nowych klientów.
Jakie techniki są stosowane w leczeniu stomatologicznym pod mikroskopem
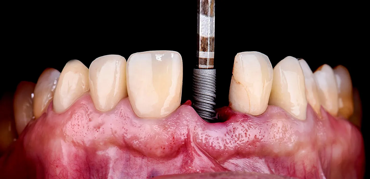
Leczenie stomatologiczne pod mikroskopem wykorzystuje różnorodne techniki, które mają na celu poprawę jakości i skuteczności zabiegów. Jedną z najpopularniejszych metod jest leczenie kanałowe, które dzięki powiększeniu obrazu pozwala na dokładne oczyszczenie kanałów korzeniowych z zainfekowanej tkanki oraz skuteczne wypełnienie ich materiałem uszczelniającym. Mikroskopy dentystyczne umożliwiają stomatologom dostrzeganie drobnych detali, co przekłada się na lepsze efekty terapeutyczne. Inną istotną techniką jest usuwanie próchnicy, gdzie precyzyjne narzędzia i powiększenie obrazu pozwalają na minimalizację zdrowych tkanek zęba, co jest kluczowe dla zachowania jego integralności. W przypadku odbudowy zębów, mikroskopy umożliwiają dokładne dopasowanie materiałów kompozytowych do kształtu i koloru naturalnych zębów pacjenta, co wpływa na estetykę uśmiechu. Dodatkowo, stomatolodzy mogą stosować techniki regeneracji tkanek, takie jak przeszczepy czy materiały stymulujące wzrost kości, które również korzystają z precyzji oferowanej przez mikroskopy.
Jakie są koszty leczenia stomatologicznego pod mikroskopem
Koszty leczenia stomatologicznego pod mikroskopem są często tematem wielu dyskusji wśród pacjentów. Warto zaznaczyć, że ceny mogą się znacznie różnić w zależności od lokalizacji kliniki, doświadczenia stomatologa oraz skomplikowania konkretnego przypadku. Zazwyczaj leczenie pod mikroskopem jest droższe od tradycyjnych metod, co wynika z zastosowania zaawansowanego sprzętu oraz większej precyzji wymaganej podczas zabiegów. Koszt leczenia kanałowego może oscylować w granicach od kilku do kilkunastu tysięcy złotych, w zależności od liczby kanałów oraz stopnia skomplikowania infekcji. W przypadku usuwania próchnicy lub odbudowy zębów ceny również mogą się różnić, ale warto pamiętać, że inwestycja w zdrowie jamy ustnej często przynosi długofalowe korzyści. Wiele klinik oferuje różne formy finansowania lub możliwość płatności ratalnej, co może ułatwić pacjentom pokrycie kosztów leczenia.
Jakie są przeciwwskazania do leczenia stomatologicznego pod mikroskopem
Choć leczenie stomatologiczne pod mikroskopem ma wiele zalet, istnieją także pewne przeciwwskazania do jego stosowania. Przede wszystkim niektóre schorzenia ogólnoustrojowe mogą wpłynąć na zdolność pacjenta do przeprowadzenia zabiegu. Osoby cierpiące na ciężkie choroby serca, cukrzycę czy problemy z krzepnięciem krwi powinny skonsultować się ze swoim lekarzem przed podjęciem decyzji o leczeniu. Ponadto, niektóre stany zapalne jamy ustnej mogą być przeszkodą do przeprowadzenia zabiegu pod mikroskopem. W takich przypadkach lekarz może zalecić najpierw wdrożenie odpowiedniej terapii farmakologicznej lub innego rodzaju leczenia przed przystąpieniem do zabiegu stomatologicznego. Warto również wspomnieć o sytuacjach psychicznych – pacjenci z silnym lękiem dentystycznym mogą potrzebować dodatkowej pomocy psychologicznej lub wsparcia w postaci sedacji przed rozpoczęciem leczenia.
Jak przygotować się do wizyty u dentysty korzystającego z mikroskopu
Aby maksymalnie wykorzystać możliwości leczenia stomatologicznego pod mikroskopem, warto odpowiednio przygotować się do wizyty u dentysty. Na początku dobrze jest zebrać wszelkie dokumenty medyczne dotyczące wcześniejszych zabiegów stomatologicznych oraz aktualnych problemów zdrowotnych. Umożliwi to lekarzowi lepsze zrozumienie historii medycznej pacjenta i dostosowanie planu leczenia do jego indywidualnych potrzeb. Przed wizytą warto także zastanowić się nad pytaniami dotyczącymi planowanego zabiegu – im więcej informacji uzyska pacjent, tym bardziej komfortowo będzie się czuł podczas samego leczenia. Dobrze jest również unikać spożywania pokarmów i napojów bezpośrednio przed wizytą, zwłaszcza jeśli planowane jest znieczulenie miejscowe lub ogólne. Pacjenci powinni także zgłosić wszelkie alergie lub nietolerancje pokarmowe lekarzowi przed rozpoczęciem zabiegu.
Jakie są nowinki technologiczne w leczeniu stomatologicznym pod mikroskopem
Technologia w dziedzinie stomatologii stale się rozwija, a nowe innowacje wpływają na jakość i efektywność leczenia stomatologicznego pod mikroskopem. Jednym z najnowszych osiągnięć są cyfrowe mikroskopy dentystyczne, które oferują jeszcze lepszą jakość obrazu oraz możliwość rejestrowania i archiwizowania zdjęć podczas zabiegów. Dzięki temu lekarze mogą dokładniej analizować postępy terapii oraz dzielić się wynikami z pacjentami w czasie rzeczywistym. Inna nowinka to zastosowanie technologii 3D w planowaniu zabiegów – dzięki skanom 3D dentysta może stworzyć dokładny model jamy ustnej pacjenta i zaplanować każdy krok leczenia z najwyższą precyzją. Również materiały używane do odbudowy zębów stają się coraz bardziej zaawansowane – nowoczesne kompozyty charakteryzują się lepszymi właściwościami estetycznymi oraz większą trwałością. Dodatkowo rozwijają się metody regeneracji tkanek przy użyciu komórek macierzystych czy biomateriałów stymulujących wzrost kości, co otwiera nowe możliwości terapeutyczne dla pacjentów wymagających bardziej skomplikowanych interwencji chirurgicznych.
Jak znaleźć dobrego dentystę specjalizującego się w leczeniu pod mikroskopem
Wybór odpowiedniego dentysty specjalizującego się w leczeniu stomatologicznym pod mikroskopem jest kluczowy dla uzyskania najlepszych efektów terapeutycznych. Aby znaleźć dobrego specjalistę, warto zacząć od rekomendacji znajomych lub rodziny – osobiste doświadczenia mogą być bardzo pomocne w dokonaniu wyboru. Kolejnym krokiem jest poszukiwanie informacji w internecie – wiele klinik posiada swoje strony internetowe zawierające szczegółowe opisy oferowanych usług oraz opinie pacjentów. Ważne jest także zwrócenie uwagi na kwalifikacje i doświadczenie lekarza – warto sprawdzić jego wykształcenie oraz certyfikaty potwierdzające umiejętności związane z pracą pod mikroskopem. Dobrym pomysłem jest umówienie się na konsultację przed rozpoczęciem leczenia – podczas takiej wizyty można ocenić podejście lekarza do pacjenta oraz jego umiejętność komunikacji. Dobrze jest również zwrócić uwagę na wyposażenie gabinetu – nowoczesny sprzęt świadczy o tym, że dentysta inwestuje w rozwój swojej praktyki i dba o jakość świadczonych usług.




