Implanty, szczególnie te stosowane w stomatologii oraz chirurgii plastycznej, budzą wiele pytań dotyczących ich bezpieczeństwa.…
Implanty zębowe to innowacyjne rozwiązanie, które pozwala na odbudowę brakujących zębów w sposób trwały i estetyczny. Istnieje wiele rodzajów implantów, które różnią się materiałem, kształtem oraz techniką wszczepienia. Najpopularniejsze rodzaje to implanty tytanowe, które charakteryzują się wysoką biokompatybilnością oraz odpornością na korozję. Tytan jest materiałem, który doskonale integruje się z kością, co sprawia, że implanty te są niezwykle trwałe. Innym rodzajem są implanty ceramiczne, które cieszą się rosnącą popularnością ze względu na ich estetykę oraz naturalny wygląd. Ceramika jest materiałem, który nie tylko dobrze imituje naturalne zęby, ale także nie powoduje reakcji alergicznych. Warto również wspomnieć o implantach miniaturowych, które są stosowane w przypadku ograniczonej ilości kości lub w sytuacjach wymagających mniej inwazyjnych rozwiązań.
Jakie są różnice między implantami tytanowymi a ceramicznymi
Wybór odpowiedniego rodzaju implantu zębowego jest kluczowy dla sukcesu całego zabiegu oraz satysfakcji pacjenta. Implanty tytanowe i ceramiczne różnią się nie tylko materiałem, ale także właściwościami i zastosowaniem. Tytanowe implanty są znane ze swojej wytrzymałości oraz długowieczności. Dzięki swojej strukturze tytan doskonale integruje się z kością, co zapewnia stabilność i trwałość. Z drugiej strony, implanty ceramiczne oferują lepszą estetykę, ponieważ mają kolor zbliżony do naturalnych zębów, co czyni je idealnym rozwiązaniem dla osób dbających o wygląd. Ceramiczne implanty są również bardziej odporne na przebarwienia i nie powodują reakcji alergicznych. Jednakże ich koszt może być wyższy niż w przypadku implantów tytanowych. Warto również zauważyć, że proces gojenia może być nieco dłuższy przy użyciu implantów ceramicznych.
Jakie są zalety i wady różnych typów implantów zębowych

Decyzja o wyborze implantu zębowego powinna być dokładnie przemyślana, biorąc pod uwagę zarówno zalety, jak i wady poszczególnych typów. Implanty tytanowe są jednymi z najczęściej wybieranych ze względu na swoją niezawodność i długotrwałość. Ich główną zaletą jest wysoka biokompatybilność oraz możliwość integracji z kością szczęki. Dzięki temu pacjenci mogą cieszyć się stabilnością przez wiele lat. Jednakże ich wadą może być metaliczny kolor, który nie zawsze wygląda naturalnie w przypadku osób o jasnym uzębieniu. Z kolei implanty ceramiczne oferują doskonałą estetykę i są idealne dla osób poszukujących naturalnego wyglądu. Ich główną wadą jest wyższy koszt oraz potencjalnie dłuższy czas gojenia. Miniimplanty to kolejna opcja, która ma swoje miejsce w stomatologii. Są mniej inwazyjne i mogą być stosowane w trudnych przypadkach, jednak ich wytrzymałość może być ograniczona w porównaniu do standardowych rozwiązań.
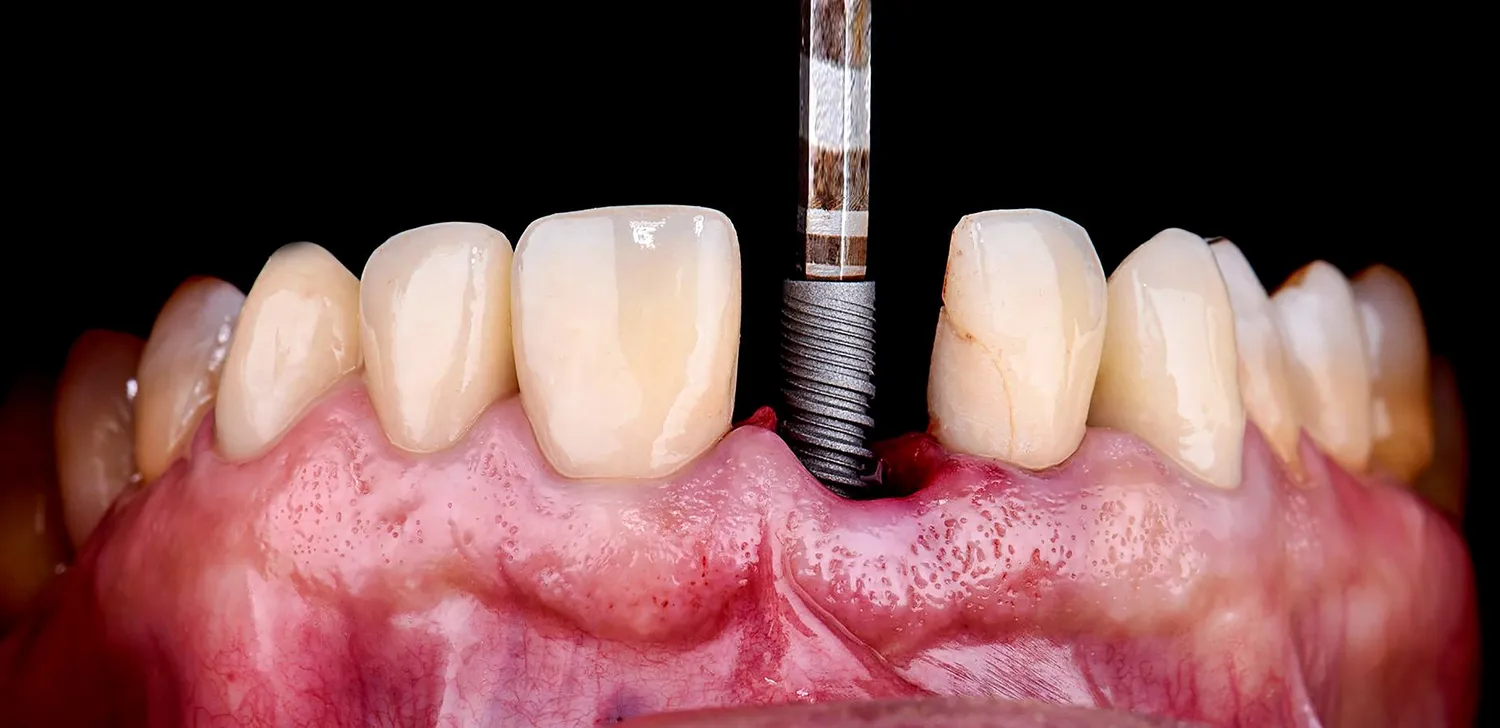
Jak wygląda proces wszczepiania różnych rodzajów implantów
Proces wszczepiania implantów zębowych jest skomplikowanym zabiegiem chirurgicznym, który wymaga precyzyjnego planowania oraz umiejętności ze strony stomatologa. Bez względu na to, czy wybieramy implant tytanowy czy ceramiczny, podstawowe etapy pozostają podobne. Pierwszym krokiem jest dokładna diagnostyka oraz ocena stanu zdrowia pacjenta, co może obejmować zdjęcia rentgenowskie lub tomografię komputerową. Następnie lekarz przystępuje do zabiegu chirurgicznego polegającego na umieszczeniu implantu w kości szczęki lub żuchwy. Po wszczepieniu implantu następuje okres gojenia, podczas którego implant integruje się z kością – ten proces może trwać od kilku tygodni do kilku miesięcy w zależności od rodzaju implantu oraz indywidualnych predyspozycji pacjenta. Po zakończeniu gojenia można przystąpić do wykonania korony protetycznej, która będzie osadzona na implancie.
Jakie są koszty związane z różnymi rodzajami implantów zębowych
Koszty związane z implantami zębowymi mogą się znacznie różnić w zależności od wybranego rodzaju implantu, lokalizacji gabinetu stomatologicznego oraz doświadczenia lekarza. Implanty tytanowe zazwyczaj są tańsze niż ceramiczne, co czyni je bardziej dostępnym rozwiązaniem dla wielu pacjentów. Koszt jednego implantu tytanowego może wynosić od kilku do kilkunastu tysięcy złotych, w zależności od regionu oraz dodatkowych procedur, takich jak augmentacja kości czy sinus lifting. Z kolei implanty ceramiczne, ze względu na swoje właściwości estetyczne i biokompatybilność, mogą być droższe, a ich cena często przekracza koszt implantów tytanowych. Warto również pamiętać o dodatkowych kosztach związanych z zabiegami przygotowawczymi oraz protetycznymi, które mogą być niezbędne do prawidłowego osadzenia implantu. Wiele klinik oferuje różne opcje finansowania oraz możliwość rozłożenia płatności na raty, co może ułatwić pacjentom podjęcie decyzji o leczeniu.
Jakie są najnowsze technologie w dziedzinie implantów zębowych
W ostatnich latach technologia związana z implantami zębowymi znacznie się rozwinęła, co przyczyniło się do poprawy jakości leczenia oraz komfortu pacjentów. Jednym z najnowszych osiągnięć jest zastosowanie technologii CAD/CAM, która pozwala na precyzyjne projektowanie i produkcję elementów protetycznych. Dzięki tej technologii możliwe jest stworzenie indywidualnych koron czy mostów na podstawie cyfrowych skanów jamy ustnej pacjenta, co zapewnia idealne dopasowanie i estetykę. Innym innowacyjnym rozwiązaniem są implanty zębowe wykonane z materiałów bioaktywnych, które wspierają proces gojenia oraz integracji implantu z kością. Takie materiały mogą przyspieszać regenerację tkanki kostnej i poprawiać stabilność implantu. Również techniki chirurgiczne uległy znacznemu udoskonaleniu, a zabiegi stały się mniej inwazyjne dzięki wykorzystaniu laserów oraz mikrochirurgii. Te nowoczesne metody pozwalają na skrócenie czasu rekonwalescencji oraz zmniejszenie dyskomfortu po zabiegu.
Jak dbać o implanty zębowe po ich wszczepieniu
Prawidłowa pielęgnacja implantów zębowych jest kluczowa dla ich długowieczności oraz zdrowia jamy ustnej. Po wszczepieniu implantu ważne jest przestrzeganie zaleceń lekarza dotyczących higieny i pielęgnacji. Należy regularnie szczotkować zęby, używać nici dentystycznej oraz płynów do płukania jamy ustnej, aby zapobiec gromadzeniu się płytki nazębnej i kamienia. Ważne jest również unikanie twardych pokarmów oraz nadmiernego obciążania implantu w pierwszych tygodniach po zabiegu, aby dać czas na prawidłową integrację z kością. Regularne wizyty kontrolne u stomatologa są niezbędne do monitorowania stanu implantu oraz zdrowia dziąseł wokół niego. W przypadku wystąpienia jakichkolwiek problemów, takich jak ból czy obrzęk, należy niezwłocznie skontaktować się z lekarzem. Dbanie o zdrową dietę bogatą w witaminy i minerały również wpływa na kondycję jamy ustnej i może wspierać proces gojenia.
Jakie są przeciwwskazania do wszczepiania implantów zębowych
Decyzja o wszczepieniu implantu zębowego powinna być dokładnie przemyślana, a przed zabiegiem należy przeprowadzić szczegółową ocenę stanu zdrowia pacjenta. Istnieją pewne przeciwwskazania do wszczepiania implantów, które mogą wpłynąć na powodzenie zabiegu. Do najważniejszych należą choroby ogólnoustrojowe takie jak cukrzyca, choroby serca czy osteoporoza, które mogą utrudniać proces gojenia i integracji implantu z kością. Również palenie tytoniu może negatywnie wpływać na stan zdrowia jamy ustnej i zwiększać ryzyko powikłań pooperacyjnych. Inne czynniki to niewystarczająca ilość kości w miejscu planowanego wszczepienia implantu lub obecność infekcji w obrębie jamy ustnej. W takich przypadkach lekarz może zalecić dodatkowe procedury przygotowawcze, takie jak przeszczep kości lub leczenie infekcji przed przystąpieniem do wszczepienia implantu.
Jak długo trwa proces gojenia po wszczepieniu implantu
Czas gojenia po wszczepieniu implantu zębowego jest uzależniony od wielu czynników, takich jak rodzaj implantu, stan zdrowia pacjenta oraz technika chirurgiczna zastosowana podczas zabiegu. Zazwyczaj proces ten trwa od kilku tygodni do kilku miesięcy. W przypadku implantów tytanowych czas gojenia wynosi zazwyczaj od 3 do 6 miesięcy, podczas gdy implanty ceramiczne mogą wymagać nieco dłuższego okresu ze względu na ich specyfikę materiałową. W tym czasie implant integruje się z kością szczęki lub żuchwy poprzez proces zwany osteointegracją. Ważne jest przestrzeganie zaleceń lekarza dotyczących diety oraz aktywności fizycznej w okresie rekonwalescencji, aby zapewnić optymalne warunki do gojenia. Regularne wizyty kontrolne u stomatologa pozwalają na monitorowanie postępów procesu gojenia oraz wykrycie ewentualnych problemów na wczesnym etapie.
Jakie są opinie pacjentów dotyczące różnych rodzajów implantów
Opinie pacjentów dotyczące różnych rodzajów implantów zębowych są bardzo różnorodne i często zależą od indywidualnych doświadczeń związanych z leczeniem oraz oczekiwań estetycznych i funkcjonalnych. Wiele osób chwali sobie implanty tytanowe za ich trwałość i stabilność, co sprawia, że czują się pewniej podczas jedzenia i mówienia. Pacjenci często podkreślają również łatwość w utrzymaniu higieny jamy ustnej wokół tych implantów oraz ich naturalny wygląd po osadzeniu korony protetycznej. Z drugiej strony niektórzy pacjenci decydują się na implanty ceramiczne ze względu na ich estetykę – wiele osób zauważa, że ceramiczne korony lepiej imitują naturalne zęby i są bardziej odporne na przebarwienia niż tradycyjne materiały metalowe. Opinie dotyczące miniimplantów również są pozytywne; pacjenci cenią sobie ich mniejszą inwazyjność oraz krótszy czas rekonwalescencji w porównaniu do standardowych rozwiązań.



